Ankara Gülüş Tasarımı ile Daha Doğal, Dengeli ve Estetik Bir Gülümseme
Gülüş tasarımı Ankara arayışında olan hastalar için planlanan bu süreç; dişlerin formunu, rengini, hizasını, dudak yapısını ve yüz oranlarını birlikte değerlendirerek kişiye özel bir estetik bütünlük oluşturmayı hedefler. Piano Dental Clinic’te uygulanan planlamada amaç, sadece beyaz dişler değil; kişinin yüzüne, mimiklerine ve doğal ifadesine uyumlu bir sonuç elde etmektir.
Çankaya gülüş tasarımı hizmeti arayanlar için Mahall Ankara konumunda ulaşımı kolay bir noktada, dijital değerlendirme ve estetik odaklı yaklaşım ile süreç kişiye özel olarak şekillendirilir.
İçindekiler
Gülüş Tasarımı Nedir?
Gülüş tasarımı, estetik diş hekimliğinde kişinin ağız yapısı, diş dizilimi, diş eti seviyesi, dudak hattı ve yüz oranları birlikte değerlendirilerek uygulanan kapsamlı bir planlama sürecidir. Amaç yalnızca dişlerin daha beyaz görünmesi değil; doğal, dengeli ve kişiye yakışan bir gülümseme elde etmektir.
Bu yaklaşımda tek tip bir sonuç hedeflenmez. Her hastanın yüz yapısı, konuşma şekli, gülme hattı ve beklentisi farklı olduğu için planlama da buna göre yapılır. Bu nedenle Ankara gülüş tasarımı hizmeti arayan hastalar için standart çözümler yerine kişiye özel değerlendirme çok daha önemlidir.
Kimler İçin Uygundur?
Diş Görünümünden Memnun Olmayanlar
Dişlerinde renklenme, form bozukluğu, aralık, aşınma veya estetik uyumsuzluk yaşayan kişiler için uygun bir değerlendirme alanı sunar.
Ön Bölge Estetiği Önemli Olanlar
Özellikle konuşurken veya gülerken ön diş görünümünden rahatsız olan hastalarda estetik planlama ihtiyacı daha belirgin hale gelir.
Daha Dengeli Bir Gülüş İsteyenler
Yüzüne daha uyumlu, doğal ve abartısız bir görünüm hedefleyen kişiler için kişisel ölçülere göre planlama yapılabilir.
Kombine İşlem Gereken Durumlar
Tek bir işlemle değil, birkaç estetik ve fonksiyonel uygulamanın birlikte planlanması gereken vakalarda kapsamlı bir yaklaşım sağlar.
Gülüş Tasarımında Hangi İşlemler Uygulanabilir?
Gülüş tasarımı Ankara planlamasında ihtiyaç duyulan uygulamalar kişiden kişiye değişir. Bazı hastalarda küçük dokunuşlar yeterli olurken, bazı vakalarda birden fazla işlemin birlikte değerlendirilmesi gerekir.
- Diş beyazlatma uygulamaları
- Lamine veneer planlamaları
- Zirkonyum kaplama çözümleri
- Bonding uygulamaları
- Diş eti estetiği düzenlemeleri
- Ortodontik değerlendirme gereken vakalar
- Eksik dişlerin estetik bütünlük içinde planlanması
Burada önemli olan, işlemlerin tek tek sıralanması değil; hepsinin birbiriyle uyumlu şekilde planlanmasıdır. Böylece sadece estetik değil, aynı zamanda daha dengeli bir ağız yapısı hedeflenir.
Dijital Gülüş Tasarımı Ankara Sürecinde Nasıl Bir Avantaj Sağlar?
Dijital gülüş tasarımı Ankara aramalarında kullanıcıların en çok merak ettiği konulardan biri, sonucun nasıl öngörüldüğüdür. Dijital değerlendirme yaklaşımı; yüz oranları, dudak yapısı, diş boyutları ve estetik hatların daha kontrollü biçimde analiz edilmesine yardımcı olur.
Bu yaklaşım, hasta beklentisinin daha net anlaşılmasına ve planlamanın daha şeffaf ilerlemesine katkı sağlar. Özellikle doğal görünüm isteyen hastalarda, ölçülü ve kişisel sonuç hedeflemek açısından dijital planlama büyük avantaj sunar.
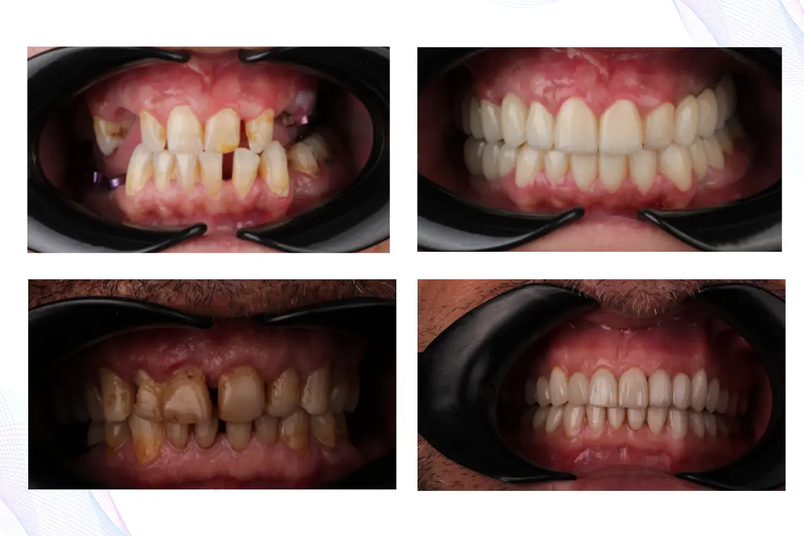
Gerçek Hasta Sonuçları
Gülüş tasarımı sonrası elde edilen doğal ve estetik değişimi inceleyin.
Tedavi Süreci Nasıl İlerler?
1. İlk Muayene ve Estetik Değerlendirme
İlk aşamada diş yapısı, gülme hattı, dudak desteği, yüz oranları ve genel beklenti birlikte değerlendirilir.
2. Kişiye Uygun Planlama
Her hasta için aynı işlem planı uygulanmaz. İhtiyaca göre hangi işlemlerin gerekli olduğu netleştirilir.
3. Uygulama Sıralamasının Belirlenmesi
Estetik uyumun korunması için işlemler rastgele değil, belirli bir sıra dahilinde planlanır.
4. Kontrol ve Son Görünümün Değerlendirilmesi
Süreç tamamlandıktan sonra hem estetik bütünlük hem de hasta memnuniyeti açısından son değerlendirme yapılır.
Ankara Çankaya’da Neden Piano Dental Clinic?
Çankaya gülüş tasarımı arayışında olan hastalar için klinik seçimi sadece konumla ilgili değildir. Güven, planlama yaklaşımı, estetik bakış açısı ve hasta iletişimi de en az uygulamanın kendisi kadar önemlidir.
Piano Dental Clinic’te amaç, yalnızca estetik olarak dikkat çeken bir sonuç üretmek değil; kişinin yüzüne ve doğal ifadesine uyumlu, zamansız bir görünüm elde etmektir. Mahall Ankara konumu sayesinde ulaşım avantajı sunarken, süreç boyunca kişiye özel değerlendirme ile ilerlenir.
İlgili sayfalar:
Gülüş Estetiği | Diş Estetiği Ankara | Lamine Veneer Ankara | Zirkonyum Kaplama Ankara | Diş Beyazlatma Ankara
Gülüş Tasarımı Fiyatı Ankara İçin Neler Belirleyicidir?
Gülüş tasarımı fiyatı Ankara araştırmasında en sık karşılaşılan yanlış beklenti, herkese tek bir fiyat verilmesini beklemektir. Oysa bu süreç kişiye özel planlandığı için ücretlendirme; uygulanacak işlem sayısına, kullanılacak yönteme, mevcut ağız yapısına ve estetik hedefe göre değişir.
Basit bir beyazlatma ve küçük dokunuşlarla ilerleyen planlama ile çoklu estetik uygulama gerektiren vakalar aynı kapsamda değerlendirilmez. Bu nedenle doğru fiyat bilgisi ancak detaylı muayene ve planlama sonrası netleşir.
Doğal Bir Gülümseme Neden Bu Kadar Önemli?
Estetik uygulamalarda en değerli sonuç, ilk bakışta yapay görünmeyen sonuçtur. Yüzle uyumlu, diş eti çizgisi dengeli, dudak hattına yakışan ve kişinin karakterini gölgelemeyen bir gülümseme; çoğu zaman en etkileyici olandır. Bu nedenle başarılı bir gülüş tasarımı yalnızca dikkat çekmek için değil, doğal görünmek için planlanmalıdır.
İyi planlanmış bir estetik gülüş, kişinin sosyal hayatında daha rahat hissetmesine, fotoğraflarda daha özgüvenli görünmesine ve ilk izlenimde daha olumlu bir etki bırakmasına destek olabilir.
Öncesi ve Sonrası Değerlendirme Neden Önemlidir?
Estetik diş hekimliğinde süreç anlatımı kadar, gerçek vaka yaklaşımı da önemlidir. Hastalar genellikle sadece hangi işlemin yapılacağını değil, nasıl bir değişim bekleyebileceklerini de görmek ister. Bu nedenle sayfada hasta örnekleri, klinik yaklaşımı ve vaka değerlendirmeleri yer aldığında güven duygusu da artar.
Bu alana isterseniz “Bizimle Gülümseyenler” sayfanızdan vaka bağlantısı ya da galeri modülü eklenebilir.
Ankara Gülüş Tasarımı İçin Size Uygun Planlamayı Öğrenin
Daha estetik, dengeli ve doğal bir gülüş için kişiye özel değerlendirme büyük fark yaratır. Piano Dental Clinic’te size uygun yaklaşımın nasıl şekillenebileceğini öğrenmek için bizimle iletişime geçebilirsiniz.
Sık Sorulan Sorular
Gülüş tasarımı ile gülüş estetiği aynı şey midir?
Birbirine çok yakın kavramlardır. Ancak gülüş tasarımı genellikle daha kapsamlı bir planlama sürecini ifade eder ve yüz oranları ile kişisel estetik beklenti daha detaylı değerlendirilir.
Gülüş tasarımı herkese uygulanır mı?
Her hasta için aynı kapsamda uygulanmaz. Uygunluk, ağız yapısı, mevcut ihtiyaçlar ve estetik beklentiye göre belirlenir.
Dijital gülüş tasarımı ne işe yarar?
Dijital değerlendirme, planlamanın daha kontrollü yapılmasına ve estetik sonucun daha öngörülebilir hale gelmesine katkı sağlar.
Gülüş tasarımı fiyatı neden kişiden kişiye değişir?
Çünkü işlem sayısı, uygulanacak yöntemler, mevcut ağız yapısı ve hedeflenen estetik sonuç her hastada farklıdır.
Ankara Çankaya’da gülüş tasarımı için klinik seçerken nelere dikkat edilmelidir?
Klinik seçerken hekim yaklaşımı, kişiye özel planlama, estetik bakış açısı, vaka deneyimi ve süreç iletişimi birlikte değerlendirilmelidir.